Planung und Navigation für die Weichgewebschirurgie
Die folgenden Arbeitspunkte sind Bestandteil von Forschungsaktivitäten bei MIMED. Das BMBF-Projekt Fusion wurde im Jahr 2003 konzipiert und lief vom 1. Juli 2005 bis 31. Dezember 2010. Wir danken explizit unseren klinischen Partnern in München, Berlin, Mainz, Celle und Lübeck für die Evaluierung und die vielen wertvollen Hinweise, die zu dem aktuellen Ergebnis geführt haben:

Lebersegmentierung (halbautomatisch)
Nach dem Laden eines DICOM-CT Datensatzes über CD, Netzwerk oder PACS kann die Leber mit wenigen Mausklicks segmentiert werden. Während die Schnittbilder die gesamte Anatomie zeigen, beschränkt sich die 3D-Ansicht auf den Bereich der Leber.

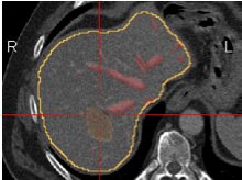
Tumorsegmentierung (halbautomatisch)
Lebertumore bzw. Metastasen lassen sich am Bildschirm meist gut erkennen und können mit wenigen Mausklicks angetastet werden. Pro Tumor ein Mausklick. Anschließend sind die Tumore auch in der 3D-Ansicht deutlich erkennbar.

Gefäßbaumrekonstruktion (vollautomatisch)
Der Gefäßbaum der Leber wird auf der Basis der vorliegenden CT Bilddaten rekonstruiert. Dies geschieht vollautomatisch auf der Basis der vorliegenden CT-Bilder. Eine Fusion von arterieller und venöser Phase ist möglich.

Risikoanalyse (vollautomatisch)
Eine vollautomtische Risikoanalyse berechnet nun den Abstand der Gefäße zu den Tumoren. Gefäße, die in der Nähe eines Tumors liegen werden farblich hervorgehoben. Hier muss bei der Resektion besonders vorsichtig agiert werden.